会顶医生
2025-03-16知识连接能力的桥梁,知识连接能力的桥梁,知识连接能力的桥梁
关注
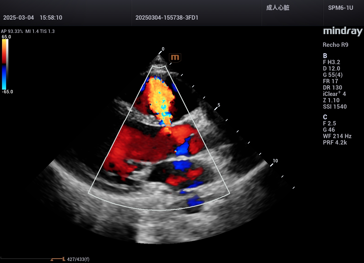
病例集:卵圆孔未闭、先心病、室缺、房缺,迈瑞心脏彩超Recho R9,2025年3月在广西
先心病,室间隔缺损(膜部瘤形成),广西区人民医院医院超声科,2025年
www.jinrichaosheng.com
先心病,室间隔缺损,干下型,广西区人民医院医院超声科,2025年
www.jinrichasheng.com
先心病,室间隔缺损,广西区人民医院医院超声科,2025年
www.jinrichasheng.com
病例:先心病,室间隔缺损(膜部瘤形成),成人心脏探头看小儿心脏,迈瑞心脏彩超鲲鹏Recho R9,2025年3月
www.jinrichasheng.com
病例,先心病,房间隔缺损ASD,声窗条件很难,迈瑞心脏彩超鲲鹏Recho R9,2025年3月
www.jinrichasheng.com
病例,卵圆孔未闭,冠状动脉的显示,成人心脏探头看小儿心脏,迈瑞心脏彩超鲲鹏Recho R9,2025年3月
www.jinrichasheng.com
返回首页
转载