综合整理:超声学习沙龙综合整理
版权归原作者所有
编辑:小超人
在目前的中国,绝大部分心内科医生,至少是大部分心内科医生是不会做心脏超声的,强行要求这个能力有点儿过,但是要求具备看心脏超声报告的能力还是必须的。目前国内大部分心脏超声报告都是具备以下几点的:
1、心脏各个腔室的大小。各个心室壁的厚度,尤其是左室后壁及室间隔的厚度。
2、各个瓣膜的返流程度、返流血流速度、认真点儿或是高级点儿的报告会给出估测的肺动脉压力的大小,瓣膜运动状态及是否有瓣膜狭窄。
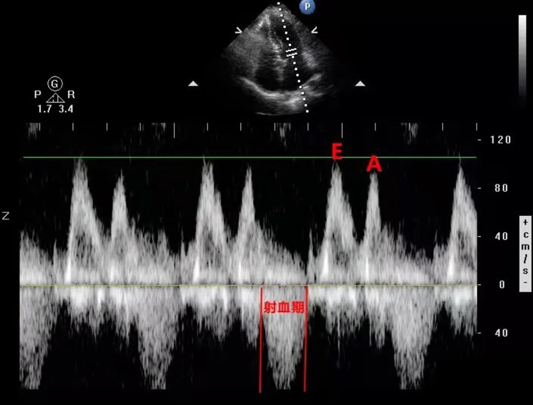
3、各个心室壁的运动状态及协调度,包括形象描述及EF值、SF值以及A峰、E峰的血流速度大小。一个基本的心动超声图也就是这几个要素。别的先不谈,今天就A峰、E峰的原理说一说。
首先我们需要清楚E峰、A峰是如何形成的?
在舒张期的时候,二尖瓣开放,左心房的血液进入到左心室,并不是一次全部进入,它分为两个步骤进行。
第一步称为舒张早期。由于左房左室的压力差,舒张早期左室快速充盈形成了二尖瓣前向血流的第一个峰:E峰;
第二步称为舒张晚期,由于左心房的主动收缩,再次将左心房的血液主动充盈进入左心室,形成了二尖瓣前向血流的第二个峰:A峰
回顾一下心动周期:
快速充盈期的时长要大于心房收缩期的时长,因此可以通过波形时长来区分E、A峰,占时长的是E峰,短的是A峰,如图所示:
但是当心率比较快或者心率不齐的时候,两个波峰时长相近或呈现单峰,此方法就不太适用了,如图:
那么此时我们可通过心动周期来进行分析
如上图所示射血期的后面紧跟的一定是快速充盈期,而不是心房收缩期。
所以只要确定了射血期,那么紧跟在射血期后面的就是快速充盈期,对应的波峰也即E峰,然后接着才是心房收缩期,也即A峰。
如何正确获取E、A峰的频谱?
在心尖四腔心切面上,加上彩色多普勒,观察二尖瓣口的彩色血流束。
注意,这时我们不要立刻用PW或者CW取频谱,我们应该先加上取样线,微调二维图像,使得取样线和血流方向尽量平行,不超过20度的夹角。调整好以后,我们再用PW或CW键,取得频谱多普勒图像。然后,第二个技巧点,关于取样容积的放置位置。
大家知道,PW和位置有关,测得的是取样容积所在部位的流速、压差等,因此,对于二尖瓣前向血流,取样容积应置于瓣尖。
CW与位置不相关,但是需要定量分析二尖瓣口血流时,取样容积应置于瓣尖下瓣环水平。
看似简单的E、A峰,却是很多人容易忽略的,正确的认识和取得它们的频谱,是能获得正确的超声心动图的信息的前提!
