这么大的骶尾部包块,大家猜猜到底是什么?
https://mp.weixin.qq.com/s/Oq90BftzePORKtL9WiGcbA
患者,女, 80 岁,于 3 年前无意中发现骶尾部一包块,约鸡蛋大小,无疼痛、红肿等不适一直未予以特殊处理。
近来患者感骶尾部包块较前明显增大,约成人拳头大小,并影响生活(见图 1 )。
指检
肛缘平整,骶尾部触及一肿物,大小约 7.0cm×8.0cm ,活动度欠佳,无压痛,肛门括约肌紧张,直肠下段未及新生物,退指无染血。

图 1 骶尾部包块,如成人拳头大小
超声所见
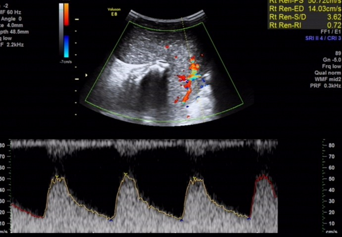
骶尾部皮下软组织层内探及一范围约 145×98×107mm 的低回声包块,围绕骶骨生长,部分向盆腔内生长,与周围其他组织分界清楚,内部回声欠均匀, CDFI:内见多个条状血流信号, PW 检测:呈动脉频谱, RI:0.72 。
超声提示
骶尾部囊实性包块,性质待定,神经源性肿瘤?表皮样囊肿并感染不除外?

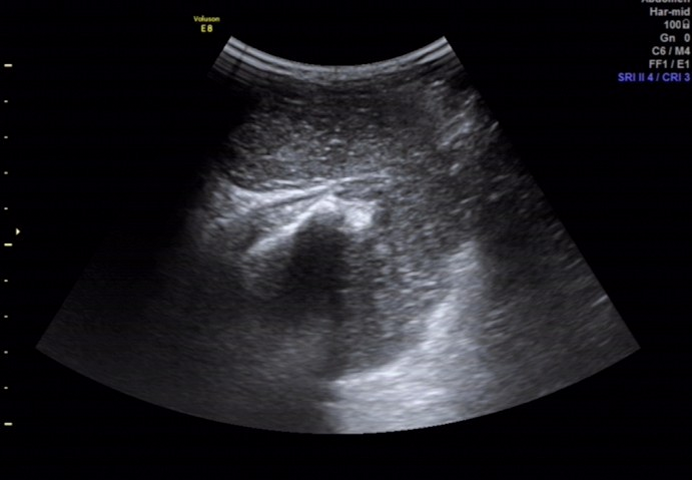
图 2 用凸阵探头经骶尾部扫查见包块围绕骶骨生长,并与骶骨分界不清

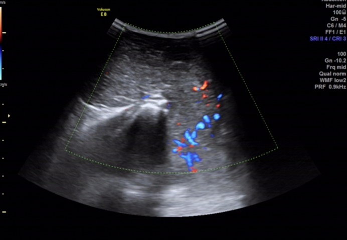
图 3 CDFI:包块内见多个条状血流信号

图 4 PW检测呈动脉频谱, RI:0.72
图 5 用线阵探头经骶尾部扫查:内部回声欠均匀,见多个条索状高回声,可见多个条状血流信号

图 6 经阴道超声扫查见包块形态尚规则,与盆腔各脏器分界清楚

图 7 CDFI: 内见多个条状血流信号

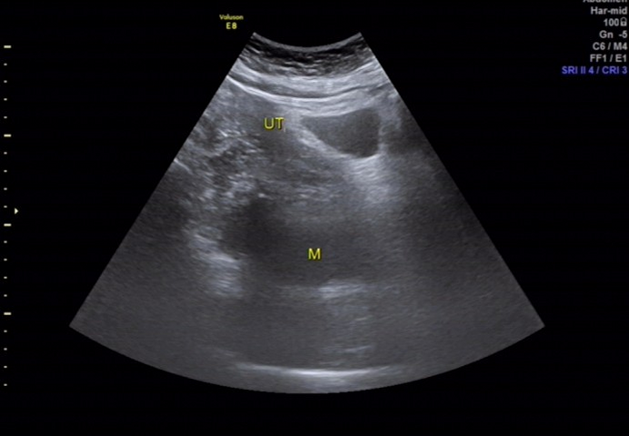
图 8 用凸阵探头经下腹部扫查可见包块部分向盆腔生长
病理结果
骶尾部脊索瘤。
病例讨论
脊索瘤为来源于残存或异位的胚胎性脊索组织,是一种原发低度恶性骨肿瘤,在胚胎 3 个月时脊索开始退化,仅椎间盘的髓核为残余的脊索组织。
如果沿脑脊髓神经轴的任何部位残留有脊索组织,即可发展形成脊索瘤,其中以神经轴的头端和尾端(即蝶骨枕骨底部及其软骨结合处的周围以及骶尾部)多见,约 1/3 发生在脊柱、 1/3 发生在颅底、 1/3 位于骶尾部。
骶尾部脊索瘤临床罕见,脊索瘤可见于任何年龄段,中老年男性多见。
临床表现
骶尾部脊索瘤向后生长,突出皮下形成隆起性肿块,向前生长可压迫直肠和膀胱而产生直肠和膀胱刺激症状,少数也可引起肠梗阻和排尿困难,约 10% 可经淋巴、血性转移。
超声表现
骶尾部单发,体积较大团块,易侵犯骶尾骨并伴溶骨性骨质破坏,边界清楚,形态不规则,多呈分叶状,内部为不均匀低回声,少部分伴液化及钙化,内部血流信号不丰富。
超声发现骶尾部肿块内可见强回声骨块影与骶骨关系紧密,血供不丰富,应考虑脊索瘤可能。
鉴别诊断
1、 骶尾部畸胎瘤
小儿多见,超声表现为内部回声杂乱的囊实混合性团块,部分可见脂液分层、毛发或骨骼回声,一般不侵犯骶尾骨造成骨质破坏。
2、 神经鞘瘤
多为圆形、卵圆形或不规则哑铃形,有包膜。可表现为肌层内低回声团块,边界清楚,形态规则,骶尾部骨质破坏极少见。
3、 肉瘤
如横纹肌肉瘤等,多表现为肌层深面、紧贴骨皮质生长的不均匀弱回声团块,可伴骨质破坏及钙化形成,但一般血供较丰富。
4、 脊髓脊膜膨出
患者先天性发育异常病史,骶尾部中央有囊状突起,超声可见形态欠规则的低回声区与深部相通,具有与脊髓脊膜相通的弱回声髓腔,包块受压可见变形、缩小。
总结
骶尾部脊索瘤临床较罕见,好发于中老年男性。
超声表现特征为位于骶尾部的单发、体积较大团块,易侵犯骶尾骨并伴溶骨性骨质破坏,边界清楚,形态不规则,多呈分叶状,内部为不均匀低回声,少部分伴液化及钙化,内部血流信号不丰富。
熟悉骶尾部脊索瘤临床特点及超声表现对骶尾部包块诊断和鉴别诊断有较大的帮助,同时超声还可以观察周围情况及有无转移,从而为临床治疗方案的选择提供依据。
