对于心脏房室的超声测量,这应该是一个很基础的问题,但对于初学者来说,如何测量才算是正确的呢?本文就和小伙伴们分享一下各房室测量的切面、测量时相。
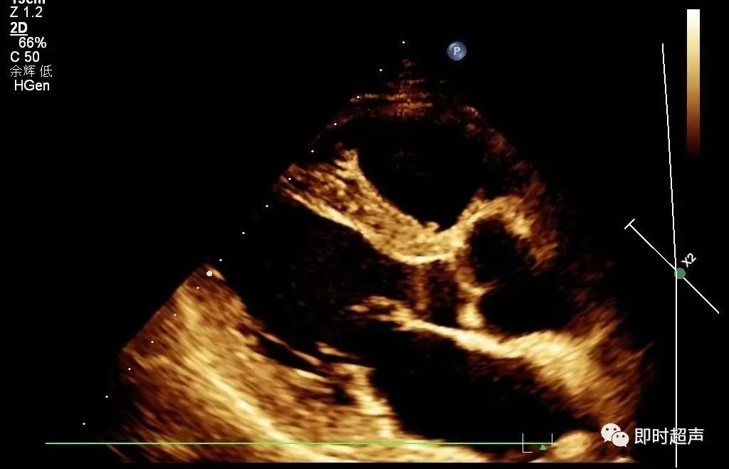
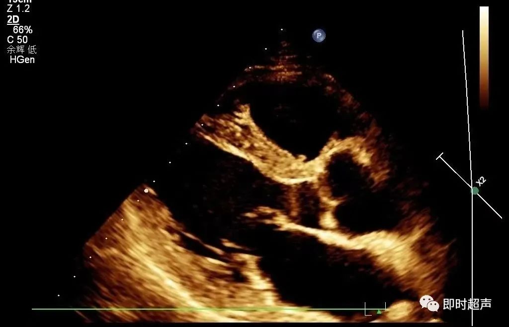
★左心房内径
测量时相:心室收缩末期;左房前后径:胸骨旁左室长轴切面,从主动脉远端后壁取垂直线到左房后壁进行测量;左房长径:心尖四腔心切面,从二尖瓣环平面中点到左心房顶的距离(不一定垂直于二尖瓣环平面)。
房横径:
心尖四腔心切面,从房间隔中点到左心房侧壁,并且垂直于左房长径;左房面积:心尖四腔心描记,应避开左心耳及肺静脉汇合处;左房容积:在心尖四腔心及两腔心切面,用双平面Simpson测量。

★室间隔及左室后壁厚度
测量切面:胸骨旁左室长轴切面;测量位置:二尖瓣腱索水平,分别测量舒张末期及收缩末期室间隔及左室后壁的厚度。

★左室流出道内径
测量切面:左室长轴切面;测量时相:心室收缩末期;测量位置:距主动脉瓣环1cm处。
★左室容积(LVEDV、LVESV):
在心尖四腔心及两腔心切面采用双平面Simpson法测量
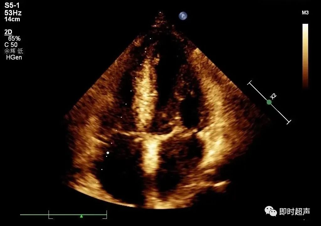
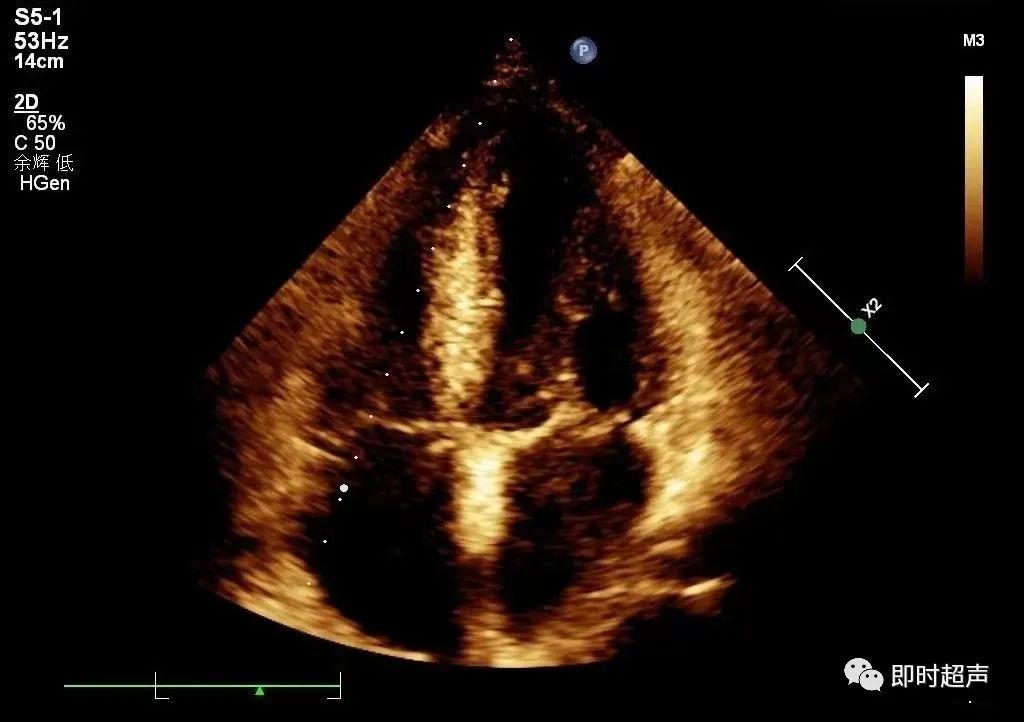
★右心房内径
测量切面:心尖四腔心切面;测量时相:收缩末期;右房长径:三尖瓣环平面中点到右房顶的距离;右房横径:房间隔中点到侧壁的距离,且垂直于右房长径。
★右心室的测量
测量时相:舒张末期;右室长径、中份及基底横径:心尖四腔心测量;右室前壁厚度及右室前后径:左室长轴切面测量;右室游离壁厚度:剑下切面三尖瓣腱索水平测量。
★右室流出道内径:
在舒张末期胸骨旁大动脉短轴切面距肺动脉瓣2cm处测量右室流出道内径。
★主动脉的测量
测量切面:胸骨旁左室长轴切面;测量时相:舒张末期;测量:主动脉瓣环径、主动脉窦部内径、窦管交界处上方2cm处的近端升主动脉内径。
主动脉弓及降主动脉:胸骨上凹主动脉长轴切面舒张末期测量。
★肺动脉的测量
测量切面:胸骨旁主动脉短轴切面;测量时相:舒张末期。测量:①肺动脉瓣环径;②主肺动脉内径:肺动脉瓣环远端1cm处测量;③左、右肺动脉内径:肺动脉分叉远端1cm处测量。

