1. 独有的经典Aplio图像优化技术+i系列探头iDMS技术 :第三代复合成像技术 ApliPure+, 增强的精确成像Precision,第二代差量谐波成像 Differential THI这三大经典Aplio二维图像优化技术,结合i系列超宽频带探头的iDMS技术,分辨率和穿透力达到完美高度统一,业内扫查深度最大,可达50cm。
2. 高级动态血流成像技术ADF:该技术是佳能独创的彩色多普勒成像技术,具有高分辨率、高敏感、高帧频的血流成像特点,可以高分辨显示微细血流信息。
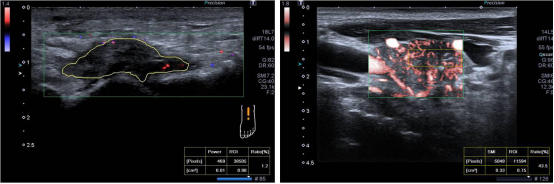
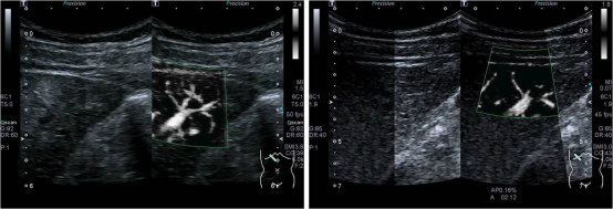
3. i系列超微血流成像技术iSMI:i系列的SMI称为iSMI,结合Aplio i系列创新的平台技术,成像能力得到进一步提升,实现更加敏感、更高分辨率、更少伪像的极低速血流显示。iSMI技术是彩色多普勒技新性的突破,具有广泛的妇产临床应用价值:子宫内膜疾病,妇科良恶性肿瘤的诊断和鉴别诊断以及术前术后评估,瘢痕妊娠,胎盘植入,最早显示胎儿先心病的异常血流,胎儿肾脏血流,肺脏血流灌注等。
iSMI两种模式:
1彩色模式(cSMI):同时显示组织的二维灰阶信息和彩色血流信息,
2减影模式(mSMI):抑制组织的二维灰阶信息,利用灰度信号来凸显血流信息。
iSMI技术主要包括:
1. iSMI+Smart(Sensor)3D:操作便捷、极速成像、立体直观。

2. iSMI+VI:呈现极低速血流信号分布密度,准确检测血流信号占目标区域的像素比。

3. iSMI+CHI:SMI+超声造影,微细血管中极低流速造影微泡信号的高敏感、高分辨率成像。

