➢ 腹部解决方案
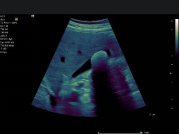
ACUSON Juniper 超声诊断系统的探头使用创新超低损耗透镜材料和微电子技术,实现高效性能和增加信号带宽,从而可获得优异的图像质量。西门子弹性成像 VTQ 声触诊组织定量技术,利用声脉冲辐射力(ARFI)原理,临床可用于间接无创检查肝组织硬度,进而区分肝纤维化过渡阶段;且是基于可视超声二维图像条件下进行定量分析,故其临床重复性好,得出高精度测量数据,测值单位 m/s 或 KPa 任意可选。西门子 VTQ 技术在慢性乙型和丙型肝炎纤维化的诊断和监测具有一定的意义。



➢ 浅表小器官解决方案
SieScape Panoramic Imaging(SieScape)宽景成像: 对于较大器官或病灶的观察,借助宽景成像,利用实时高分辨率灰度成像获得全景图像,方便观察靶目标的整体大小、形态以及毗邻位置,可在全景图像上进行测量、旋转等操作降低拼图测量产生的误差,且最长扫描长度>2 米,角度可达 180°,可应用与所有线阵及凸阵探头,应用领域广泛。

eSie Touch Elasticity Imaging(EI) 应变弹性成像: EI 应变弹性成像技术,用于浅表软组织病变的诊断,为临床提供敏感的高分辨率弹性成像,具备彩色和灰阶两种显示模式,并提供半定量工具:面积比、径线比、应变率比值。QF:不可或缺的质控指标,保证测值的准确性。


➢ 血管解决方案
Clarify vascular enhancement(VE) 血管增强 : 西门子的专利技术:不影响空间分辨率的同时提高组织对比分辨率,使得管腔内的结构显示更加清晰,临床价值:对于管壁内中膜、斑块和血栓的判定更加准确。应用范围广。

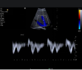
syngo®Arterial Health Package(AHP)动脉健康评估: AHP 为临床提供测量 CIMT,具有高敏感性、非侵入性等优点,测得 CIMT 的诸多参数,并联合患者的其他生理指标(血脂等)预估冠心病、脑卒中的风险指数。

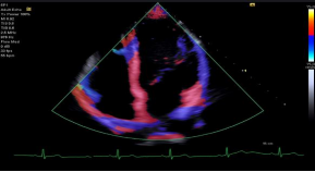
➢ 心脏解决方案
eSie Measure 一键自动测量 :快速自动测量心脏的 2D/M/PW 图像,其良好的一致性、重复性、和准确性,降低了手动测量的误差。可测量的参数包括:
‒ 2D:左房、左室、室间隔、室壁径线 EF、FS等
‒ M:主动脉、左房、左室、室间隔、室壁径线 EF.FS 等
‒ Doppler:四个瓣口的血流峰值流速、时间速度积分、减速时间、跨瓣压差、平均压差、E/A、返流流速、压差等

Doppler Tissue Imaging (DTI) 组织多普勒:
‒ DTI 提供了组织平均速度的实时成像显示,在采样区域内的用户选择感兴趣的使用不同的用户选择颜色编码地图
‒ 适用于 5P1, 8V4, 10V4, 11M3等探头

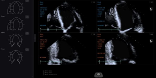
eSie Left Heart 自动左心分析
‒ 提高工作效率和检查流程
‒ 自动识别并描记经胸检查的左心室和左心房,并给出测量结果
‒ 基于经胸两腔心和四腔心图像,可进行在机或脱机分析

Stress Echo 负荷成像
‒ 提供心电图触发采集、显示,选择比较、评估和在不同阶段的多个心脏节段动态图存档的负荷超声检查
‒ 简化整个检查流程
‒ 室壁运动评分:16/17 节段模型与图形显示和左心室(LV)体积测量与报告打印

➢ 妇科、产科解决方案
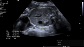
syngo®Auto OB 自动产科测量: AUTO OB 自动产科测量软件,准确识别图像边界,自动获取双顶径、枕额径、头腹围、股骨长等常用径线数据,降低测量差异性的同时提高了医生的工作效率。

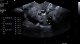
syngo® Auto Follicle 自动卵泡评估
‒ 快速、精确的评估多个卵泡
‒ 自动获取和记录测量数据
‒ 节省检查时间

fourSight 4D technology 四维成像功能
‒ 实时三维成像
‒ 适用于腔内容积探头 8VC3 和 腹部容积探头 9VE3
‒ 提供多种高级四维成像功能:
多层断层成像、厚层断层成像和曲线任意多平面成像模式



➢ 介入解决方案:
曲棍球式探头术中解决方案:
- 常规可用于检查临床领域:
术中监测:开颅手术或开腹手术,放置腔镜套后探头紧贴脏器表面探查,分辨率高,且由于探头体积小,可在有限手术视野灵活操作
- 可扩展检查临床领域:
肌骨神经(较浅部位)手指关节 睾丸 阴茎 小儿髋关节

Needle Visualization 穿刺增强
‒先进的图像后处理提高了穿刺针的显示
‒ 支持多个角度平面内穿刺针增强显示角度最大可达 35°
‒ 适用于所有线阵探头

➢ 小儿解决方案
高效:
小儿颅脑、小儿心脏、小儿腹部一次性获得检查结果
优异:
基于良好的成像平台及探头技术,获得优异的图像质量
