2025-12-17
下载APP
今日超声
知 汇
专 栏
专 家
器 械
器头条
经销商
商头条
资 料
药 物
考 试
搜索
登录
关于
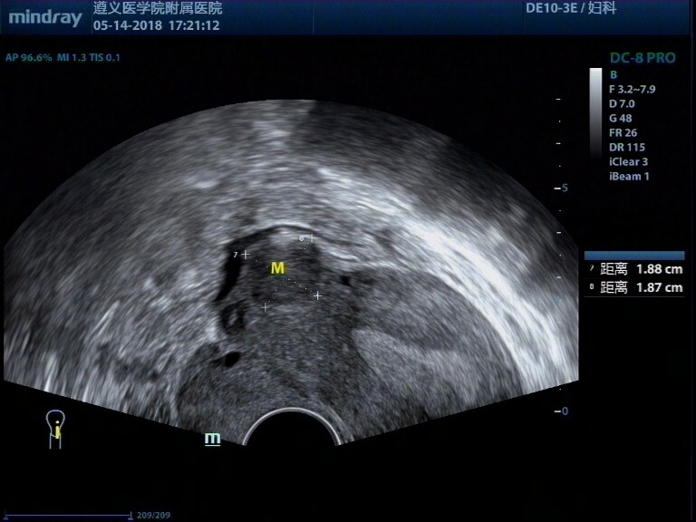
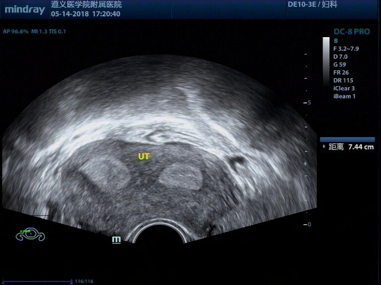
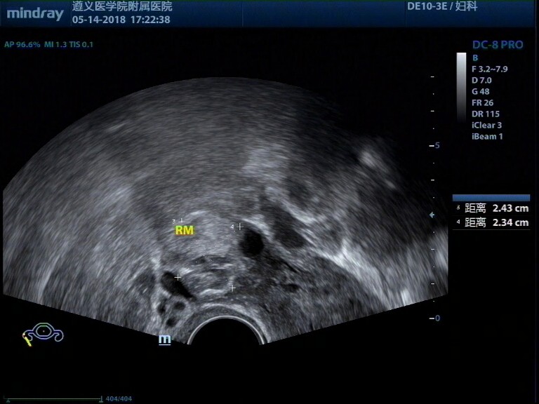
病例,31岁女性,纵膈子宫、畸胎瘤、子宫肌瘤
会顶医生
2024-06-11
来源:
转载
病例,31岁女性,纵膈子宫、畸胎瘤、子宫肌瘤。
病例来源遵义医学院附属医院
收藏
投诉
请登入后发表评论
登入
最新评论
暂无评论,快来抢沙发!
猜您喜欢
病例,子宫内膜息肉,鹿寨县人民医院,2025年7月21日,Resona A20
病例集,宫腔形态异常、少见异位妊娠的三维(3D)诊断,迈瑞女娲Nuewa
子宫发育异常的三维超声诊断,遵义医学院附属医院 黄文霞
少见部位异位妊娠的超声诊断策略,遵义医学院附属医院,黄文霞教授
病例,弓形子宫2:宫腔形态异常,二维+三维
作者最新文章
病例集,县城超声事业高质量发展,迈瑞高档彩超Resona A20、Recho R9在广西县城,2025年
病例,33M和超微血流,头皮下1.5mm的2.6mm×1.1mm的脂肪瘤清楚显示,迈瑞Resona A20,2025年11月
病例,乳腺恶性肿块,采用超微血流、睿瞳、弹性、造影和定量分析等ResonaA20技术,诊断更有肯定,2025年11月
实例,超声引导羊水穿刺,胎盘绒毛膜穿刺,广西区妇幼保健院优生遗传科,2025年4月
实例,超声可视化穿刺取卵细胞视频,弯把探头,柳州市妇幼保健院生殖科,迈瑞consona N8的V11-3HB,2025年11月
经会阴前列腺穿刺,病例实操(与MR融合导航,配准操作方法),柳州市人民医院,2023年
女娲Nuewa A20高级技术—“睿瞳技术”,把看不清的肝脏稍高回声看得清清楚楚,迈瑞超声,2025年11月
16.2025年临床女性生殖系统错题讲解01.mp4
广西2024版超声收费项目《广西医疗服务项目价格(2024年版)》
下肢深静脉血栓,超微血流能显示血栓内的微小血流,大大提高确诊的信心,Resona A20,2025年10月