乳腺非肿块型病变(NML)的常规超声主要表现为低回声区,钙化,结构紊乱。病变中出现钙化,尤其是微小钙化,对诊断非肿块型乳腺癌具有重要意义。但临床上,应用常规超声鉴别NML良恶性仍存在一定难度。因此应用弹性成像技术和超声造影技术十分有必要。弹性成像及超声造影对鉴别NML良恶性有着较高的准确性,能够减少不必要的穿刺活检。
1.NML弹性成像表现
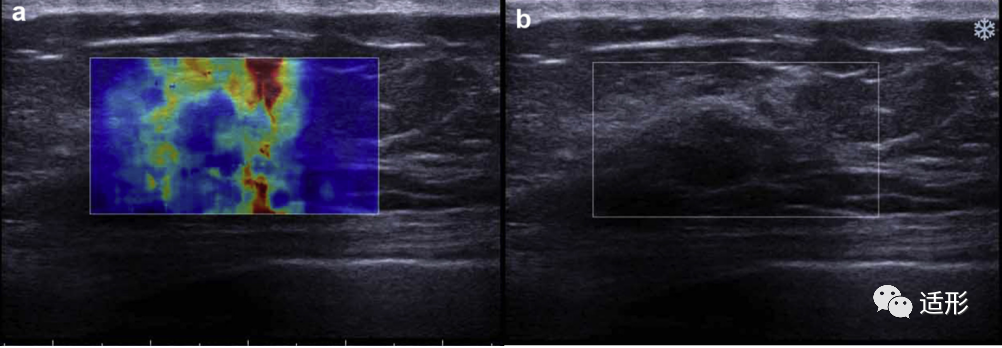
NML的弹性表现与病变的病理类型有关。恶性NML的病变硬度高于良性NML。根据病变应变式弹性成像(SE)的弹性图像表现,可利用5分评分法来评价NML的良恶性。良性NML病变较恶性NML病变软,评分多为1-3分(图1)。恶性NML较良性NML病变硬,评分多为4-5分(图2) 。结合常规超声与5分评分法评价NML,诊断恶性NML的准确性可达83.1%。另外,也可应用病变组织与皮下脂肪组织的弹性应变率比值来鉴别NML良恶性。Qu等以4.07为应变率比值截断值时,其诊断恶性NML的准确率可达95.5%。

图1. 44岁女性,超声提示乳腺内非肿块型病变,呈低回声。弹性评分(右侧)为2分,应变率比值为2.25. 病理:纤维囊性变

图2. 60岁女性,超声提示乳腺内非肿块型病变,呈低回声。弹性评分(右侧)为5分,应变率比值为8.24. 病理:浸润性导管癌
剪切波弹性成像(SWE)能定量的获取病变组织的弹性模量,通常选择平均弹性模量值(Emean)及最大弹性模量值(Emax)鉴别NML的良恶性。但目前不同学者对诊断NML良恶性截断值的选择有一定差异。Park等[2]选取Emean截断值为85.1 kPa。Wang等[3]选取Emax、Emean截断值为.81.07 kPa、63.71 kPa。Ko等[6]选取Emax、Emean截断值为69 kPa、41.6 kPa。这些差异可能是由于不同研究纳入NML样本组成或测量方式不同导致。SWE弹性图上“硬环征”的出现对诊断恶性NML有较高的特异性 (图3)。通过定量的测量病变周围组织(Shell)的弹性模量值也有助于判断NML的良恶性(图4)。Xu等[7]发现恶性NML病灶周围组织的弹性模量值高于良性病灶的周围组织,当病灶周围2.5mm的组织的Emax值以94.62 kPa为截断值时,诊断准确性可达87.44%。

图3. 59岁女性,常规超声提示非肿块型病变,剪切波弹性成像可见“硬环征”(病灶内部与周边组织相比,在病灶周边区域出现的局部硬度值增高区域,呈环状分布)。病理:浸润性导管癌[3]

图4 常规超声提示非肿块型病变,剪切波弹性成像可见“硬环征”; 病灶周围2.5mm的组织(Sell 2.5mm) Emax值为192.43kPa。病理:浸润性导管癌[7]
应用弹性成像诊断NML,需注意病变大小、位置、病理类型等可能会影响病灶的弹性成像表现,造成误诊。据Park等[2]报道,当NML距离乳头近时,可能使病灶受力不均,造成靠近乳头的病灶弹性模量值增加,出现假阳性。另外,如非肿块型的硬化性腺病、纤维囊性变伴钙化等纤维化程度高或伴钙化的良性病变,会导致病变硬度增加,也能造成假阳性[8]。在恶性NML病变中,原位癌的弹性模量值较浸润性癌的低,体积小的恶性NML弹性模量值较体积大的低,这可能会造成假阴性。
2.超声造影
常规超声结合超声造影的准确性较高。超声造影上恶性NML表现为早期增强、高增强、强化不均匀、周边呈蟹足样,增强后的范围较二维测量范围增大(图5)。另外,超声造影病变内部出现放射状血管或穿支血管,也对诊断恶性NML有一定帮助(图6)。这些恶性NML的超声造影的表现与肿块型乳腺癌的相似,与恶性病变通常伴随新生血管形成,微血管密度增加有关。但需注意的是,部分慢性乳腺炎可表现为NML,其在超声造影表现为高增强,可能会导致假阳性的出现[8] 。部分文献报道粘液癌也可表现为NML,超声造影上呈等增强、不均匀强化或仅周围强化,强化后范围无明显增大,可能造成假阴性的出现。与肿块型病变不同的是,良性NML中有超过50%的病变超声增强呈现为不均匀强化,而在良性肿块型病变中多表现为均匀性强化。另外,无论良性或恶性NML,病灶最常表现为弥漫性强化。而在肿块型病变中,病变常表现为向心性或离心性强化。

图5. 52岁女性,常规超声提示非肿块型病变,超声造影显示病变快速增强、高增强、增强后范围增大。病理诊断:导管内癌

图6. 49岁女性,超声提示非肿块型病变,呈低回声(右图长箭头),超声造影显示病变高增强、增强后范围增大,可见放射状穿支血管(左图短箭头)。病理诊断:浸润性导管癌[10]
3. 多模态超声及NML的BI-RADS分类
综合常规超声、弹性成像及超声造影的多模态超声能提高诊断准确性。Zhang等[8]将灰阶超声钙化、SE提示病变“硬”、超声造影高增强作为诊断恶性NML的三个征象。当没有以上指标或仅出现一个上述征象时,病变可能为良性;当出现二个或三个征象时,病变可能为恶性。这种便捷分类方法的准确性可达87.3%。
目前,ACR BIRADS分类当中,还没有关于非肿块型乳腺病变及其分类标准的介绍。因此,非肿块型乳腺病变的诊断分类应依据病变回声、内部是否合并钙化、血流、腋下淋巴结的情况综合判断,恶性风险程度参考目前的ACR BI-RADS分类。根据多模态超声的表现,可以对NML病变的BI-RAS分类进行升降级。病变内血流信号丰富、SE提示病变“硬”、超声造影为高增强是BI-RADS分类升级的依据;病变内血流信号少、SE提示病变“软”、超声造影为低增强及等增强是BI-RADS分类降级的依据。
总之,在临床中识别出非肿块型的乳腺病变后,应用弹性成像及超声造影能为诊断提供重要信息,对提高诊断准确性,减少不必要的穿刺十分必要。
备注:
弹性成像5分评分法(红色代表病变组织硬度比平均硬度软,而蓝色表示比平均硬度硬,中等的组织显示为绿色)[4]
1分:病变组织与周围组织完全为绿色覆盖
2分:病变区内以蓝绿混杂,以绿色为主
3分:病变区以蓝色为主,周边绿色
4分:病变区完全为蓝色覆盖
5分:病变区完全为蓝色覆盖且病变周围少部分组织也为蓝色
