先来一份正常的CT报告:
影像描述:
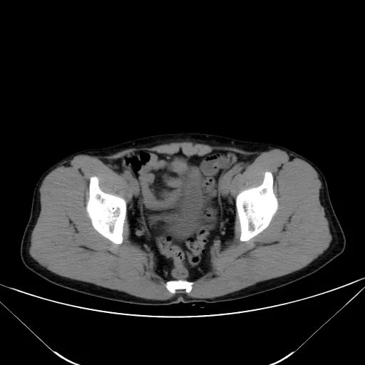
肝脏形态、密度、大小未见异常,各叶比例协调,包膜光滑,肝实质未见明确异常密度影;胆道未见扩张;胆囊形态、大小未见异常,胆囊壁光滑,其内未见异常密度影;胰腺、脾脏形态、密度、大小未见异常;双肾上腺及双肾形态、密度、大小未见异常,双输尿管未见扩张,膀胱充盈良好,壁光滑,其内未见异常密度影;前列腺/子宫及附件未见异常;胃肠道未见充盈,壁未见明确增厚;腹部及腹膜后未见肿大淋巴结。
影像诊断:
1.肝脏、胆囊、胰腺、脾脏CT平扫未见异常。
2.双肾、输尿管、膀胱、前列腺/子宫及附件CT平扫未见异常。
初学者建议根据报告模板来看片子,避免看到病变而忘记看其他部位,出现漏诊。
小编看片顺序如下:
1.肝实质及包膜,肝内血管及胆道
2.胆囊大小,密度,壁
3.胰腺大小,密度
4.脾脏大小,密度
5.双肾位置,大小,密度,周围,集合系统,然后连续看双输尿管及膀胱
6.子宫及附件,前列腺及精囊腺,尿道
7.胃肠道,特别是胃窦及十二指肠,回盲部及阑尾
8.主动脉及周围的淋巴结,肠系膜的淋巴结
9.骨质结构
正常腹部测量值可参考上期内容“全身正常影像值汇总”
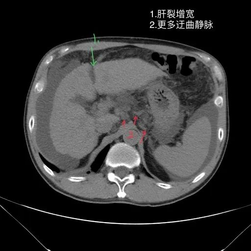
如上是肝硬化失代偿的典型表现。但没有门脉增宽和脾大表现。此外肝S4的小片低密度影除考虑为囊肿或镰旁假病灶外,还需警惕肿瘤?
除了观察肝硬化相关表现外,还应根据看片顺序继续观察胆囊 胰腺 脾脏 泌尿及生殖系统,最后别忘记主动脉及周围腹膜后结构,骨质及肌肉。
报告书写按照肝胆胰脾泌尿及生殖 胃肠 的顺序来写。也可以先写主要病变,再按肝胆胰脾的顺序写。
影像描述:
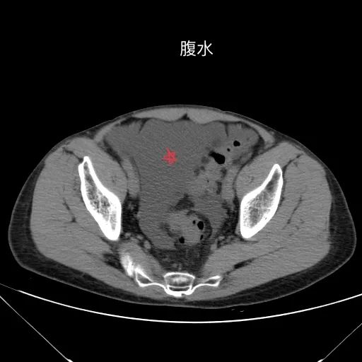
肝脏缩小,包膜凹凸不平,肝裂增宽,各叶比例失衡,肝实质密度不均,肝S4小片低密度影,约cm;胆囊不大,其内未见异常密度影,胆道系统未见扩张;胰腺、脾脏形态、密度、大小未见异常;双肾上腺及双肾形态、密度、大小未见异常,双输尿管未见扩张,膀胱充盈良好,壁光滑,其内未见异常密度影;前列腺未见异常;胃肠道未见充盈,壁未见明确增厚,食管胃底多发迂曲、增粗血管,腹部及腹膜后未见肿大淋巴结;腹水。
影像诊断:
1.肝硬化失代偿表现(腹水,食管胃底静脉曲张)。
2.肝S4小片低密度影,建议复查或进一步检查。