男性乳房肿块,千万不能大意!
https://mp.weixin.qq.com/s/rg4sB37UPrX6Cqesk4qtSQ
病例回顾
患者李某某,男,71 岁,主因发现左乳肿物 1 年余,进行性增大半月余伴局部按压痛就诊于我院腺体外科。
专科查体:于左乳乳头扪及以一肿块,边界欠清,活动度差,质地较硬,轻微压痛,挤压乳头无溢液,现查乳腺彩超。
超声检查
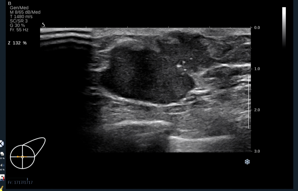
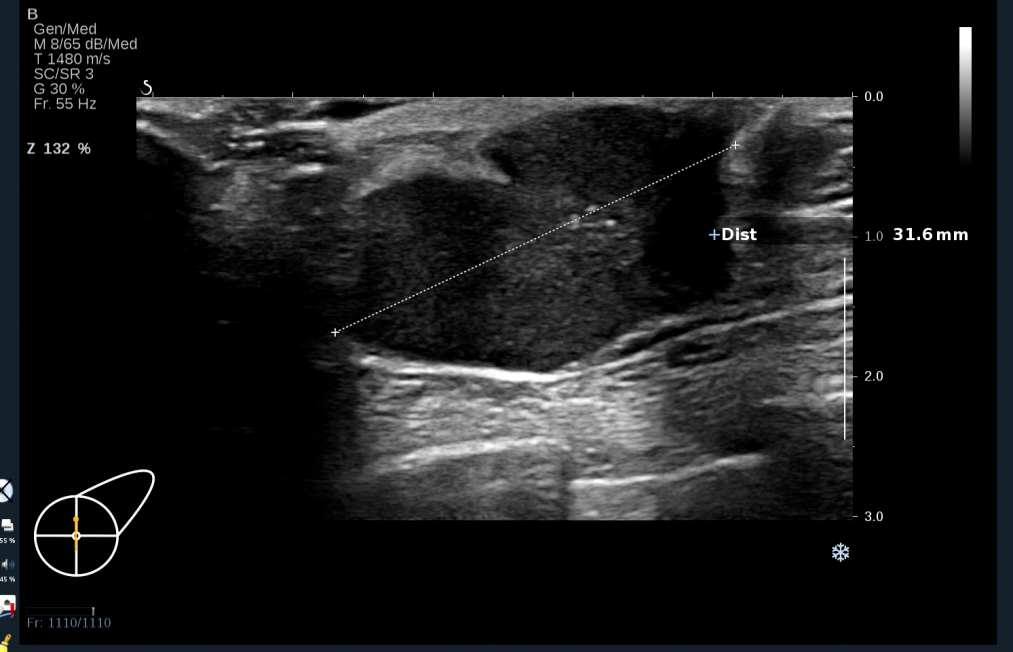
超声可见:左侧乳腺乳头后方可见少量腺体组织回声,其内可见一低回声团,大小约31.6×18.8×17.6mm,形态不规则,周边呈毛刺样,边界欠清,内回声不均匀,可见数个点状强回声。
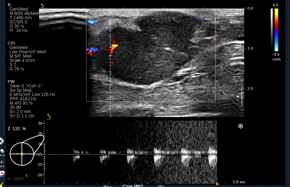
彩色多普勒及能量图:低回声团周边可见条形血流信号,并可测得动脉频谱,其内可见短棒状血流信号。

图1 探头横切扫查示:左乳乳头后方不规则低回声团伴多发钙化
图片来源:作者提供

图2 左乳乳头后方肿块的纵切面声像图表现
图片来源:作者提供

图3 彩色多普勒血流图示左乳肿块周边的粗大滋养血管
图片来源:作者提供

图4 频谱多普勒血流图示左乳肿块周边血管呈高阻力的动脉供血
图片来源:作者提供
超声诊断:左侧男性乳腺发育表现 其内实性占位 BI-RADS 5类(建议切检)
患者行乳腺钼靶检查:
钼靶:左乳头后可见一不规则肿块影,边缘毛糙,边界不清,大小约为27mm×24mm×24mm,其内可见微钙化,邻近乳晕区皮肤增厚,乳头内陷。

图5 左乳钼靶示左乳头后方不规则肿块影
图片来源:作者提供
乳腺钼靶提示:左乳肿块影,考虑恶性病变,建议手术 BI-RADS 5类
患者行全麻下左侧乳腺肿物切除活检+左侧乳腺切除+前哨淋巴结活检术。
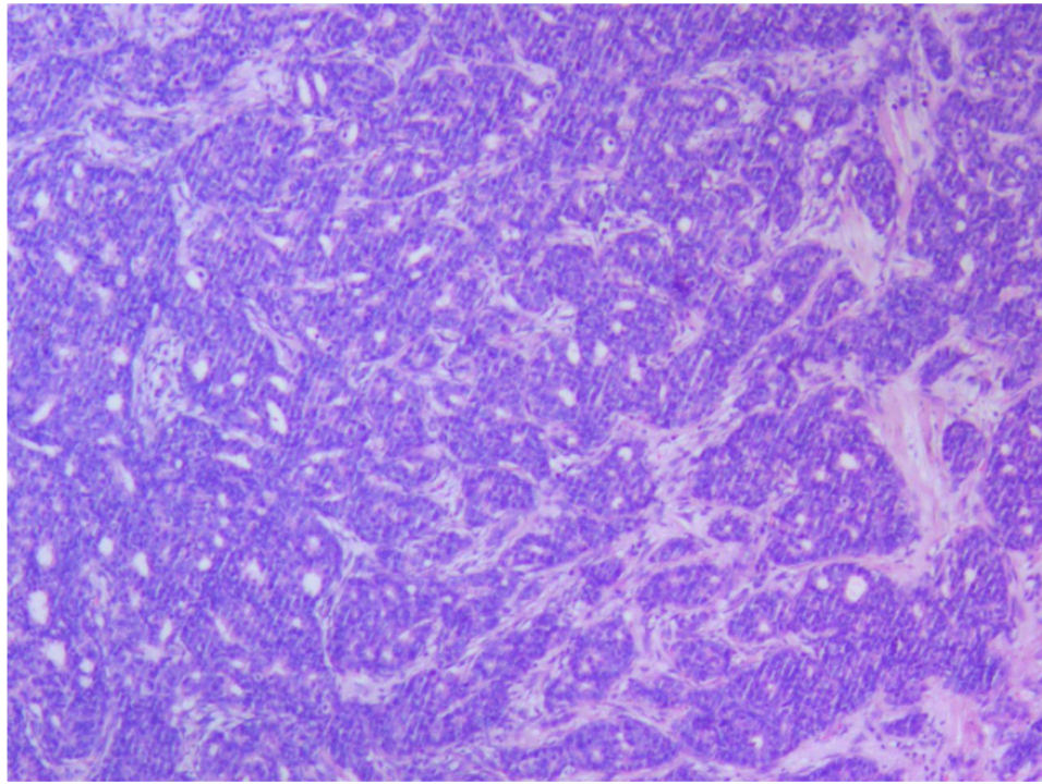
术后病理诊断:
(左侧)乳腺浸润性导管癌Ⅲ级,其余象限乳腺组织腺病,可见脉管内癌栓(CD31,CD34,D2-40)及神经侵犯。局部侵及皮肤真皮层。
免疫组化染色:ER(95%,强+),PR(70%,中等-强+),HER-2(0),Ki-67,(50%+),P53(散在弱+),CK5/6(-),P120(胞膜+),E-cadherin(+),EGFR(-),AR(95%,强+),P63(-),Calponin(-)。
图6 左乳肿物的病理切片
病例讨论
男性乳腺癌 (male breast cancer, MBC) 是一种较为少见的恶性肿瘤,约占全部乳腺癌患者的 1.0%,占男性恶性肿瘤的 0.2%-1.5%,其发病率呈上升趋势,好发于男性老年,发病呈单峰表现,高峰年龄为 71 岁。
而女性乳腺癌的发病年龄则成双峰表现,高峰年龄分别为 52 岁和 71 岁。MBC 最常见的病理类型是浸润性导管癌(Invasive ductal carcinoma ,IDC),其原因与男性乳腺发育有关。
男性乳腺始终停留在胎儿晚期发育状态,仅存在乳腺导管及周围纤维组织、脂肪组织,一般不形成乳腺小叶和腺泡,故 IDC 为男性乳腺癌最常见病理类型,其次为导管原位癌(ductal carcinoma in situ,DCIS)。
MBC 的病因目前尚不清楚, 有研究表明乳腺癌家族史、雌激素的作用增强或雌、雄激素的作用不平衡是 MBC 的危险因素。
MBC 早期多无明显临床症状,发现时往往已出现周边或远处转移,故预后较女性乳腺癌为差。临床上患者常以乳晕下触及无痛性肿物为首发临床表现,肿物位置多较固定,可合并乳头溢液或溢血。
由于男性乳房皮下脂肪较少,紧贴于胸壁,肿瘤易侵犯皮肤和胸肌层而出现乳头凹陷、皮肤增厚或溃疡、与胸肌粘连等继发表现,晚期皮肤可出现卫星结节。男性乳头乳晕下有丰富的淋巴管网,即使肿瘤体积较小,也易较早发生腋窝和锁骨上、下淋巴结转移;其远处转移部位与女性相似,主要见于骨、肺、胸膜及肝等。
MBC 超声表现
MBC超声多表现为形态不规则的向周围浸润性生长的低回声实性肿物,常以偏心性生长为主,边缘多不光整,边界不清,内部回声不均匀,可见微钙化或病灶内液体成分与周围组织粘连,部分肿块后方回声衰减,血流多较丰富,阻力指数>0.70。
鉴别诊断
1、男性乳腺发育症:男性乳腺发育内部回声接近腺体组织,以乳头为中心,无包膜,专科查体常不具有肿块的团块感。
2、男性乳腺良性病变:良性病变多表现形态规则,边界清晰、整齐,有包膜,内部回声均匀,病灶内部血流信号不丰富,阻力指数低。
3、男性乳腺炎性包块:炎性包块形态可不规则,内部回声不均匀,急性乳腺炎时内部可见较丰富的血流信号,此外乳腺炎有红肿热痛的炎症表现。
总结
男性乳腺癌多以单侧乳腺乳头周围的无痛性肿物为主要临床表现,超声检查有助于早期发现 MBC,可明确肿块的囊实性、血供情况,可初步判断肿瘤的良恶性,为临床诊断和治疗提供重要信息。
