耳廓肿物,伴皮肤牛奶咖啡斑,你能想到这种病吗?
https://mp.weixin.qq.com/s/nZCE356DCfsaVx_3YdJX2Q
病例回顾
图片
女性患者, 8 岁,以「 发现右耳肿物 3 年余 」为主诉就诊,来我科行浅表超声检查。
查体
右耳廓耳甲腔可见类圆形肿物,向耳廓后方延伸,无压痛,质软,无波动感,表面皮肤无破溃、无发黑,周围组织无红肿。耳后皮肤可见咖啡斑样(如图 1 ),耳垂可见毛发,耳道未见分泌物。
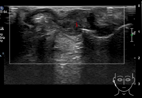
超声所见
右耳软骨前后部见一低回声团,范围 3.9cm×1.9cm ,边界欠清,形态不规则,内回声不均,可见少许血流信号(见图 2-3 )。
超声提示
右耳软骨前后部低回声团,建议进一步检查。
图 1 患者耳后外观图「 牛奶咖啡斑」
图 2 肿物二维声像图
图 3 肿物彩色多普勒图 肿物内可见少许血流信号
术后病理
(右耳部肿物)结合免疫组化,符合神经纤维瘤。
病例讨论
图片
神经纤维瘤病 (neurofibromatosis,NF) 又称多发性神经纤维瘤,是一种起源于神经主干或末梢神经轴索鞘神经膜细胞及神经束膜细胞的良性肿瘤。
NF 是由于基因缺陷使神经嵴细胞发育异常导致多系统、多器官损害,可归类于神经皮肤综合征,是一种少见的常染色体显性遗传性疾病,患者子女中约半数可发病。
分型
按照临床表现和基因定位进行
I 型
可累及神经、骨骼及皮肤等组织,周围神经病变以多发性神经纤维瘤为主要表现,皮肤常出现雀斑样色素斑、牛奶咖啡色斑及皮肤纤维瘤。
II 型
较为罕见,在新生儿中的发病率约为 1:25000 。II 型神经纤维瘤病又称中央型神经纤维瘤病,以双侧前庭神经鞘瘤为特征性表现。
在超声临床工作中相对来说 I 型神经纤维瘤更常见,本文主要讨论 I 型神经纤维瘤病。
诊断标准
美国国立卫生研究院 (NIH) 于 1988 年制定了 NF I 型的统一诊断标准,至少具备以下列出的 2 种或 2 种以上的临床表现:
(1) 皮肤牛奶咖啡色斑 ≥6 个,青春期前最大直径 ≥5mm ,青春期后最大直径 ≥15mm;
(2) ≥2 个的任何类型的神经纤维瘤或 1 个丛状神经纤维瘤;
(3) 腹股沟区或腋窝雀斑;
(4) 视神经胶质瘤或其他脑实质胶质瘤;
(5) ≥2 个的虹膜黑色素错构瘤(Lisch 结节);
(6) 特征性骨损害,包括长骨骨皮质变薄、假关节和蝶骨发育不良;
(7) 一级亲属(父母、子女和兄弟姐妹)患 NF I 型。
病理表现
NF I 型可分为结节型、丛状型及弥漫型3 种类型,结节型神经纤维瘤较为常见,神经纤维瘤的组织成分主要由增生的神经胶质和 Schwann 细胞组成,大量梭形瘤细胞和胶原纤维束密集均匀分布,呈栅栏状或漩涡状排列。
结节型神经纤维瘤多为实性,无明确包膜,较少出现出血或囊性变;
丛状型神经纤维瘤表现为大量沿神经走行的大小不一的不规则梭形膨大结节;
弥漫型表现为神经组织在皮肤及皮下软组织内沿结缔组织间隔弥漫性生长并包裹正常结构,且病变组织内可见大量扩张的血管。
超声表现及其鉴别诊断
结节型神经纤维瘤
超声表现为圆形或类圆形的低回声肿块,边界清楚,内部回声可均匀或不均,血流信号可较丰富或仅可见条状血流信号,肿块的两端可与神经相连呈「 鼠尾征 」改变。
此类型的神经纤维瘤主要应和神经鞘瘤进行鉴别,神经鞘瘤可发生囊性变,而神经纤维瘤较少发生囊性变。
丛状型神经纤维瘤
超声表现为病变部位可见多发结节伴结节周围及之间有条带状低回声与之相连。
此类型的神经纤维瘤应和多发肿大的淋巴结进行鉴别,通过彩色多普勒可鉴别,肿大的淋巴结可见门型的血流信号;异常的淋巴结可出现囊性变或钙化,此声像改变可作为两者的鉴别点。
弥漫型神经纤维瘤
超声表现病变区皮下软组织弥漫性回声增强伴数量不等的条带状及/或结节状的低回声分布于其中。
此类型的神经纤维瘤主要和血管瘤进行鉴别,血管瘤内可见迂曲管状无回声,探头加压血流信号可增多;神经纤维瘤局部皮肤可见咖啡斑,而血管瘤更常见为紫红色斑。
I 型神经纤维瘤的超声表现有一定的特异性,但应注意与其他浅表疾病进行鉴别,结合临床表现,可更为准确的作为诊断。
参考文献:
[1] 吴克钻,朱策均,杨世海,林晓扬,余诗园,张东玉.结节型神经纤维瘤的超声诊断及鉴别诊断[J].现代医用影像学,2017,26(02):222-226.
