左心室分段图文全解
https://mp.weixin.qq.com/s/KWTqys1auXSzQfOqBFf2zg
左心室对于会做心脏彩超的同行来说太熟悉不过了,但是对于大多数人来说真的了解了吗?今天我们主要来聊聊左心室的常用分段方法:
目前,左心室的分段主要有16节段、17节段和18节段几种分法,今天我们先看看16节段到底是怎么分的。
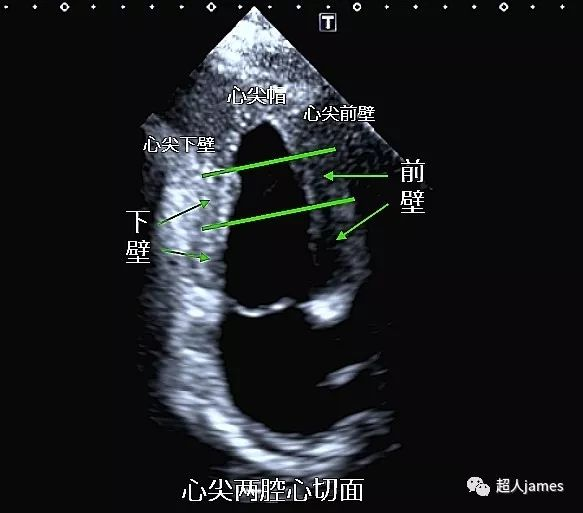
做过心脏二维或三维斑点追踪技术的老师们都应该见过下面这张图像,我们叫他“牛眼图”:

“牛眼图”解析:
最外圈层为基底段:ant 前壁、lat前侧壁、post下侧壁、inf下壁、sept后间隔;
中间圈层为中间段:ant 前壁、lat前侧壁、post下侧壁、inf下壁、sept后间隔;
最内圈层为心尖段:包括前壁、侧壁、下壁、间隔壁。
总共16节段。




