8种常见子宫畸形声像图
https://mp.weixin.qq.com/s/zu7nwp07l-H5rDM4GkLZag
从胚胎发生学上可知子宫的发生来自胚胎时期两侧的副中肾管(mullerianducts),副中肾管的头侧端发育形成两侧输卵管口中,尾端则会形成子宫。
根据副中肾管发育的障碍不同可将子宫、阴道的先天性畸形分为以下4类:
1、副中肾管停止发育
(1)幼稚子宫或先天性无子宫:两侧副中肾管在会合后短时间内即停止发育呀完全未发育。
(2)单角单颈子宫:仅一侧副中肾管停止发育,另一侧发育完全,形成单角单颈子宫,停止发育的一侧也可形成残角子宫。
2、副中肾管会合后不良
(1)双子宫:全段副中肾管未会和,形成双阴道、双宫颈、双宫体。
(2)双角双颈子宫:副中肾管部分会合,形成单阴道、双宫颈、双宫体。
(3)双角单颈子宫:副中肾管部分会合,形成单阴道、单宫颈、双角子宫
(4)弓形子宫:副中肾管接近完全会合。
3、副中肾管会合后中隔未完全退化
(1)纵隔子宫:中隔未退化。
(2)不完全纵隔子宫:仅部分中隔退化。
4、混合缺陷包括子宫各种形态畸形。
以下是几种常见这个畸形的声像图表现:
一、始基子宫
子宫较小或呈条索状肌性组织回声,其内无内膜回声。
临床工作者在二维超声检查时,尽可能发现异常的阳性表现,后续辅以三维超声检查,进一步明确子宫腔形态。
二、幼稚子宫
宫体小于正常,宫体长度与宫颈管长度之比接近1:1,可见内膜回声。
三、单角子宫(残角子宫)

二维超声纵切面上,乍看与正常子宫无差异。但是当连续移行扫查时发现子宫内膜只向一侧宫角延伸,另一侧宫角无内膜显示。宫旁侧常见一小团与宫体等回声的组织,即残角子宫,且与宫体之间有血流相连。由于残角组织内有无内膜回声关系到后续的处理方案,故此时需仔细检查。
三维超声上,子宫形态呈桶状,宫腔形态则呈香蕉状偏向单角一侧。
四、双子宫

超声可见两个宫体及其内膜腔回声,且双侧基本等大。纵切连续扫查,左右两宫体如两个分开的单角子宫一般,其内膜腔都向各自一侧延续。横切面显示两套环形肌层及其内膜腔回声,从宫颈管至宫底水平扫查,两宫体回声均逐渐增大,且相行渐远。
三维超声上,子宫形态呈两个单角子宫,各自偏向一侧,其内的宫腔形态均呈香蕉状,各自偏向一侧。
五、双角子宫

二维超声横切面上,扫查至宫底时,可见两套环形肌层及其内膜腔回声。而向下扫查时,这两个宫体肌性组织及内膜腔回声均逐渐融合为一。纵切连续扫查时,即正中纵切面所显示的宫体长度最短,向两侧宫角扫查时,宫体长度均逐渐增长。
三维超声上呈一个宫体,但双侧宫角肌性组织向外突出,宫底浆膜层凹陷一般>1cm。其内宫腔两角分开呈Y型。目前临床上最常用Troiano及McCarthy提出诊断标准:两侧宫角的内膜顶点连线距宫底浆膜层距离<5mm或越过宫底浆膜层,则为双角子宫;若此距离>5mm,则不可诊断双角子宫,无论宫底是圆顶状、平坦或是切迹而成分离状。
六、纵隔子宫
图:双角子宫与纵隔子宫鉴别
图:纵隔子宫横切面“猫眼症”
图:(左图)完全性子宫纵膈和(右图)不完全子宫纵膈
宫体轮廓无论二维扫查或三维成像均无异常。但由于其内膜腔被纵隔一分为二,二维超声横切时环形肌层切面上出现两团圆形的内膜回声,如猫眼一样,故称“猫眼征”。如为完全纵隔子宫,从宫底至宫颈管的横切面上始终呈现该猫眼征。如为不完全纵隔子宫,从宫底向下直至隔底水平,横切面上均呈现该猫眼征,而低于隔底水平的横切面上仅显示一团内膜。
三维超声上,完全纵隔子宫腔呈兔耳型,整个宫腔被纵隔完全分开。不完全纵隔子宫腔呈Y型,即隔底水平以下为一个宫腔。纵隔深度(两侧宫角的内膜顶点连线中点至纵隔底部的距离)≥10mm。
推荐使用ESHR的定义:宫底浆膜层内陷<子宫前后壁平均厚度50%且宫腔底部下凹深度>宫壁厚度50%,诊断为纵隔;若宫底浆膜层内陷>子宫前后壁平均厚度50%,为双角子宫。
七、双角纵隔子宫

图:双角纵膈子宫三维成像
兼有双角子宫及纵隔子宫的超声特征。ESHRE–ESGE诊断标准:
(1)宫体浆膜层内陷深度>子宫前后壁平均厚度的50%(这条可代替以Troiano及McCarthy提出诊断标准:两侧宫角的内膜顶点连线距宫底浆膜层距离<5mm或越过宫底浆膜层);
(2)浆膜层最低点与宫腔最低点的距离>子宫前后壁平均厚度的150%。
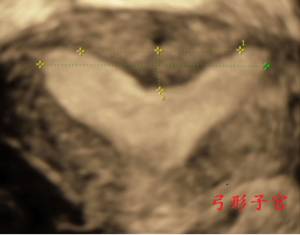
八、弓形子宫
图:弓形子宫与纵隔子宫鉴别
图:弓形子宫三维成像
宫体轮廓无异常。由于宫底肌层略凹陷,在宫底水平的横切面上,子宫内膜暂被分开成两团,故呈“猫眼征”。而向下扫查时,“猫眼征”很快消失。
三维超声上宫腔形态基本呈倒三角形,双侧宫角内膜顶点与宫腔底部最低点连线的夹角为钝角;宫腔底部略凹陷,深度<10mm。若此夹角为锐角,且宫腔底部凹陷深度≥10mm,则诊断为纵隔子宫。
