【快速入门】超声测量心包积液
正常心包由壁层和脏层两层组成。脏层心包紧贴心外膜,是由单层间皮细胞构成;壁层心包主要由纤维组织构成,厚度<2mm。这两层结构包绕了心脏的四个腔室,并在大血管根部形成反折,以此构成的腔隙称为心包腔。正常情况下容纳15~35ml的浆液,主要分布于房室沟和室间沟。
它包绕了心脏和大血管,贴着胸骨、膈肌,以及前纵隔,保持心脏在胸腔内的几何位置,同时也是抵御感染的屏障。由于心包的弹性有限,所以可以限制四个心腔的总容量。当左心扩大时,心包因能限制右心室的充盈,故能延缓肺水肿的发生。在血容量过多时,心包能限制心脏扩张。心包具有延展性,缓慢积聚的液体将使心包腔扩大而不压迫心脏。虽然心包有多种功能,但是先天性心包缺如或手术切除心包对生命并无影响,心功能也无明显改变。
心包积液是很多心包疾病最常见的表现。超声心动图直接观察心包有一定的困难,但能敏感地发现心包积液的存在以及心包疾病所导致的血流动力学改变,因而对心包疾病的诊断有重要的价值。但是单凭积液的声像图并不能确定病因,必须结合临床表现和实验室检查综合分析。

因为心包腔的体积是有限的,所以心包积液的增多将导致心腔容量的减少,从而使血流动力学发生改变。事实上血流动力学的改变与心包腔压力有关,而心包腔的压力与心包积液量和液体积聚的速度相关,也与心包的延展性有关。所以缓慢进展的大量心包积液对心脏血流动力学的影响可能反而比快速出现的少量心包积液小。
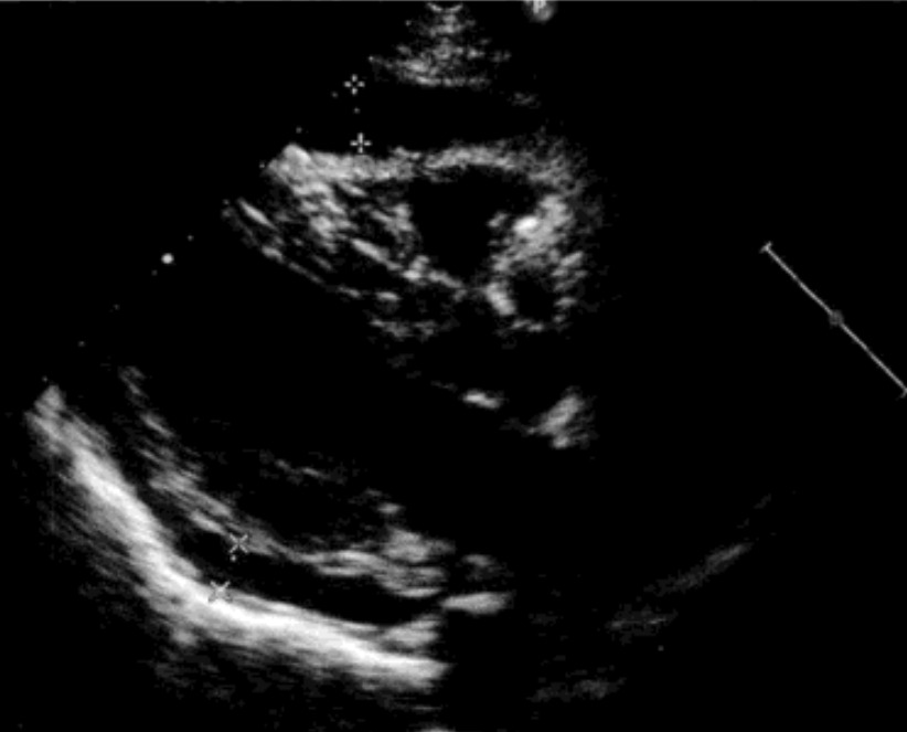
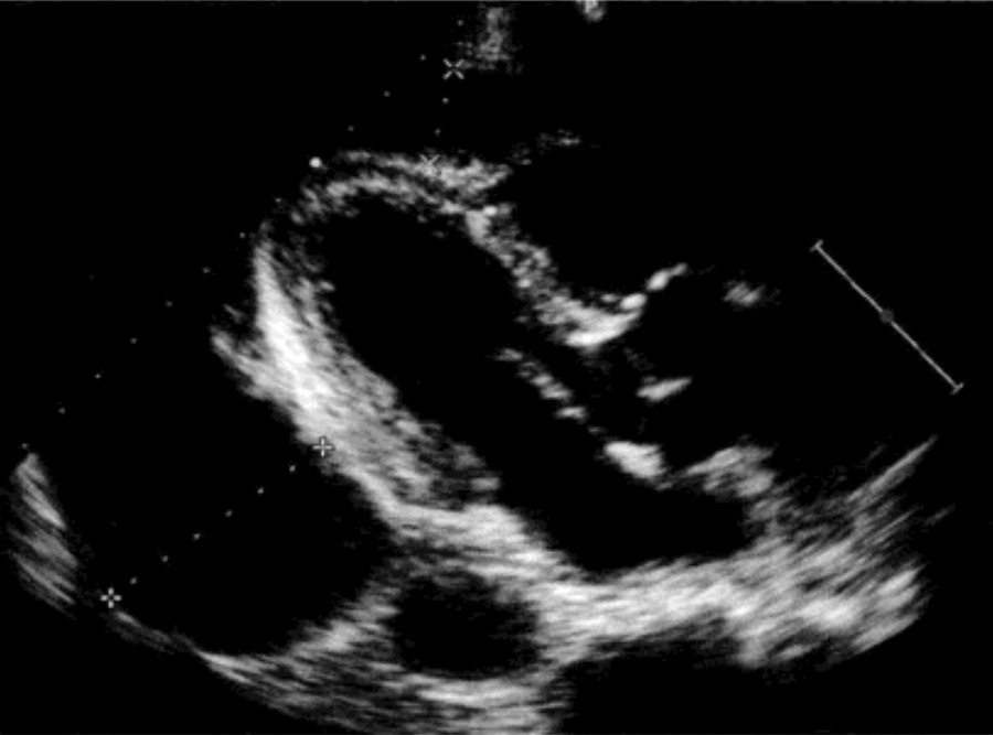
心包积液可以由M型、二维、三维、心腔内超声发现。正常情况下,在心包腔内只有少量的液体,因而只有在后房室沟处可以看见很小的无回声区,该无回声区在舒张末期常常消失,只在收缩期出现。积液也会积聚在斜窦,即左房和大血管之间的潜在腔隙,在这种情况下,左心耳、肺动脉、主动脉周围都会出现液体,仅在这些部位出现的液体可能是正常的。当积液的量增加时,表现为心脏的前方和后方出现无回声区,虽然常规超声心动图无法准确测定心包积液的量,但是无回声区的宽度与心包积液的量明显相关。
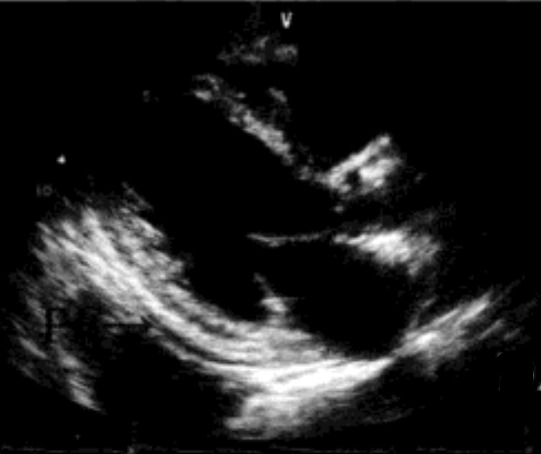
目前常用二维超声心动图来诊断心包积液并对其进行定量。大致可以分为微量、少量、中等量及大量。
微量:仅在左室后壁后方出现无回声区,舒张期消失,收缩期出现。
少量:仅在左室后壁后方出现无回声区,收缩期和舒张期持续存在,舒张期最深处一般小于1cm,液体量<100ml。

中等量:心脏周围环绕无回声区,左室后壁后方无回声区在1~2cm,右心室前壁无回声区<1cm,液体量在100~500ml。

大量:左室后壁后方无回声区>2cm,液体量>500ml。右室前壁、室间隔及左室后壁呈同向运动,并出现由于心脏自由摆动而出现的摇摆运动。

以三维超声心动图进行心包积液的定量应是最确切的。壁层心包之间的容量与脏层心包间容量的差值即为心包积液的总量。
心包积液也可以是包裹性的,在心脏手术、结核性心包炎、心脏外伤和胸部放疗后,心包的炎症性渗出使心包积液的分布不均匀。它可以发生在心包腔的任何部位,手术后最常见于左室或左室与左房的后方,因为前方是心包切开区,常有粘连;邻近右房的包裹性积液也常见。
心包积液时也可发现心包腔无回声区内有一些疏松的纤维样条状回声随心脏运动而漂动,有证据表明,这种少量的纤维样条带与以后发生心包缩窄并不相关。但是大量的纤维条带常见于化脓性心包炎和结核性心包炎,包裹在心脏的周围,有发生心包缩窄的倾向。一部分血性心包积液,心包腔内出现自显影现象,可能与红细胞聚集有关。
