盆腔充血综合征的超声评估
https://mp.weixin.qq.com/s/ukp6iaWjs5CVtnCbO8dPWA
盆腔充血综合征定义为有慢性盆腔疼痛病史超过6个月的经产绝经前女性在选择性卵巢静脉造影时盆腔静脉明显充血的疾病。慢性盆腔疼痛是一种常见的妇科问题,原因多种多样。慢性盆腔疼痛的常见原因包括卵巢精索静脉曲张、子宫内膜异位症、盆腔粘连、非典型月经痛、泌尿系统疾病、肠易激综合征和社会心理问题。大约一半的慢性盆腔疼痛女性存在盆腔精索静脉曲张。
卵巢精索静脉曲张的原因可能是多因素的,涉及机械和激素因素。妊娠期间,卵巢静脉的血管容量可能增加到正常值的60倍,并在分娩后数月保持这种状态。卵巢静脉扩张导致血管功能不全和逆行静脉血流。静脉扩张更常伴胎次增加。盆腔充血综合征仅影响绝经前期女性,这一事实表明盆腔充血综合征与卵巢活动之间存在相关性。与子宫错位相关的盆腔静脉扭结也可能导致静脉淤滞、血流逆转和随后的精索静脉曲张。尽管盆腔充血综合征与盆腔静脉曲张之间的关联已为人所知多年,但其病因的不确定性导致不同的治疗方法,产生不同的结果。
左侧的卵巢丛引流到左卵巢静脉,左卵巢静脉几乎总是排入左肾静脉。右卵巢静脉通常直接引流到下腔静脉。引流部位卵巢静脉的正常上限为5mm,右侧通常略大于左侧。正常盆腔静脉丛的超声表现为一个或两个直径小于5mm的直管状结构。然而,卵巢和盆腔精索静脉曲张的超声表现是卵巢和子宫周围的多条扩张静脉,具有不同振幅的静脉多普勒信号。存在直径大于5mm的圆形或线性静脉结构提示盆腔静脉曲张。
盆腔充血综合征的超声检查表现为左卵巢静脉扩张伴尾部血流逆转、盆腔静脉丛曲折扩张、卵巢多囊改变、穿过子宫子宫肌层的弓形静脉扩张以及Valsalva手术过程中精索静脉曲张中出现可变双功波形。
33岁女性盆腔充血综合征患者。纵向经腹超声检查显示,扩张的左卵巢静脉(箭头)流入同侧肾静脉(箭头),直径为 11.8 mm。
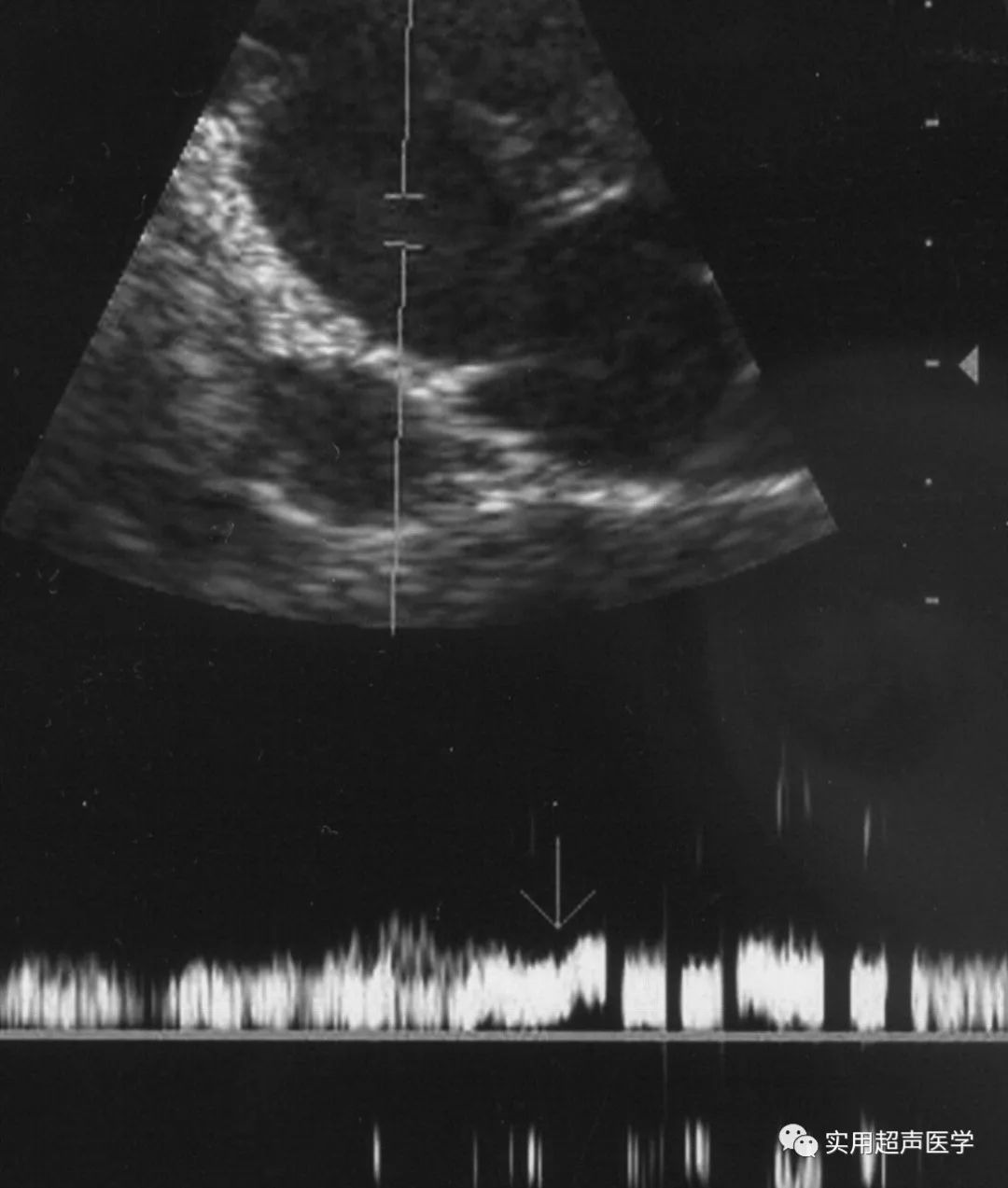
33岁女性盆腔充血综合征患者。左卵巢静脉彩色多普勒 (B) 和双功多普勒 (C) 超声图显示尾部血流逆转。
33岁女性盆腔充血综合征患者。左卵巢静脉彩色多普勒 (B) 和双功多普勒 (C) 超声图显示尾部血流逆转。
35岁女性盆腔充血综合征患者。经阴超检查显示左卵巢周围卵巢静脉丛扩张(星号)。最大的直径为6.5毫米。存在直径大于5 mm 的圆形消声结构提示卵巢精索静脉曲张。
35岁女性盆腔充血综合征患者。双功超声图显示左卵巢精索静脉曲张波形为非搏动性,代表静脉系统异常。如果出现搏动性,则强烈怀疑与动脉系统相关的血管异常,包括动静脉畸形和动静脉瘘。
33岁女性,双侧卵巢精索静脉曲张。经阴道超声检查显示从左到右穿过子宫体的大静脉,伴有扩张的盆腔精索静脉曲张。
38岁女性盆腔充血综合征患者。扩张型卵巢静脉丛的多普勒超声检查显示,Valsalva 的手法没有改变血流方向和强度。
47岁女性盆腔充血综合征患者。扩张型卵巢静脉丛的多普勒超声图显示,Valsalva 操作显示血流方向逆转,与选择性卵巢静脉造影显示的反流相关(未显示)。
39岁盆腔充血综合征女性患者。扩张卵巢静脉丛的多普勒超声检查显示血流突然消失,与选择性卵巢静脉造影显示淤滞相关(未显示)。
38岁女性盆腔充血综合征患者。扩张卵巢静脉丛的多普勒超声检查显示,Valsalva 手法最初加重。
最近的一份报告表明,Valsalva手术期间盆腔精索静脉曲张的初始加重是诊断盆腔充血综合征的重要多普勒超声检查发现,类似于男性阴囊精索静脉曲张的诊断方法。在男性中,Valsalva操作期间扩张静脉的初始血流增压对于诊断阴囊精索静脉曲张很重要。由于阴囊精索静脉曲张位于腹膜腔外,如果 Valsalva 操作期间腹膜压力升高,阴囊精索静脉曲张中的突然血流充盈会使多普勒超声检查显示初始血流增强。由于女性的盆腔精索静脉曲张是腹腔内的,因此在盆腔充血综合征患者的Valsalva操作过程中会出现可变的多普勒波形。在Valsalva操作过程中,扩张盆腔静脉中多普勒波形的可变变化,包括初始增强,流型无变化,流向逆转和血流突然消失。多普勒超声检查显示的血流方向逆转和突然消失分别与选择性卵巢静脉造影的反流和淤滞相关。
由于充血和雌激素过度刺激,盆腔充血综合征女性的子宫往往比健康女性子宫更大,卵巢囊性变化更多。盆腔充血综合征患者卵巢多囊改变的临床特征和超声表现与经典多囊卵巢综合征女性不同。盆腔充血综合征患者超声检查显示卵巢多囊改变,无多毛或闭经。卵巢囊性变化的超声表现范围从经典的多囊外观到双侧增大卵巢中存在直径为5-15毫米的8至多个囊肿簇,卵巢囊性改变的意义尚不清楚。
